Smile Gallery
Some of our work
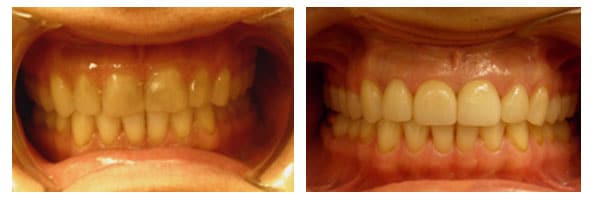
Anterior Crowns
Teeth Whitening
Smile Gallery
